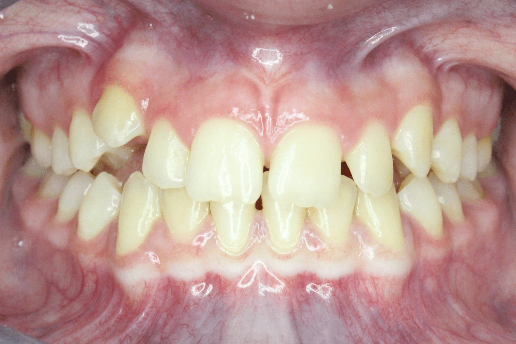
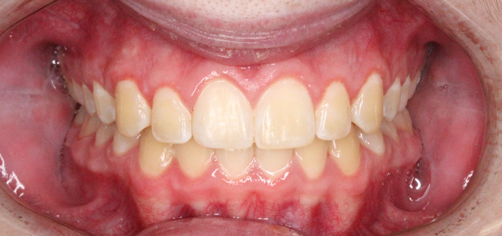
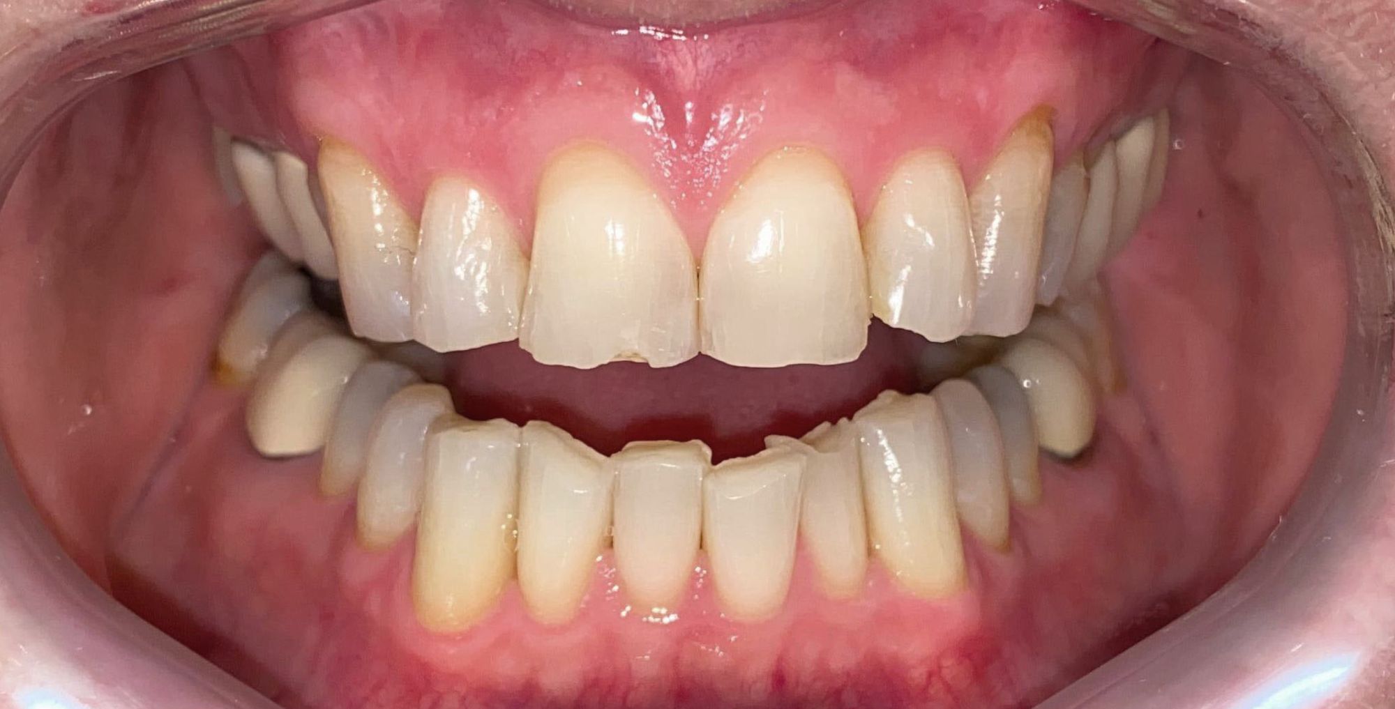
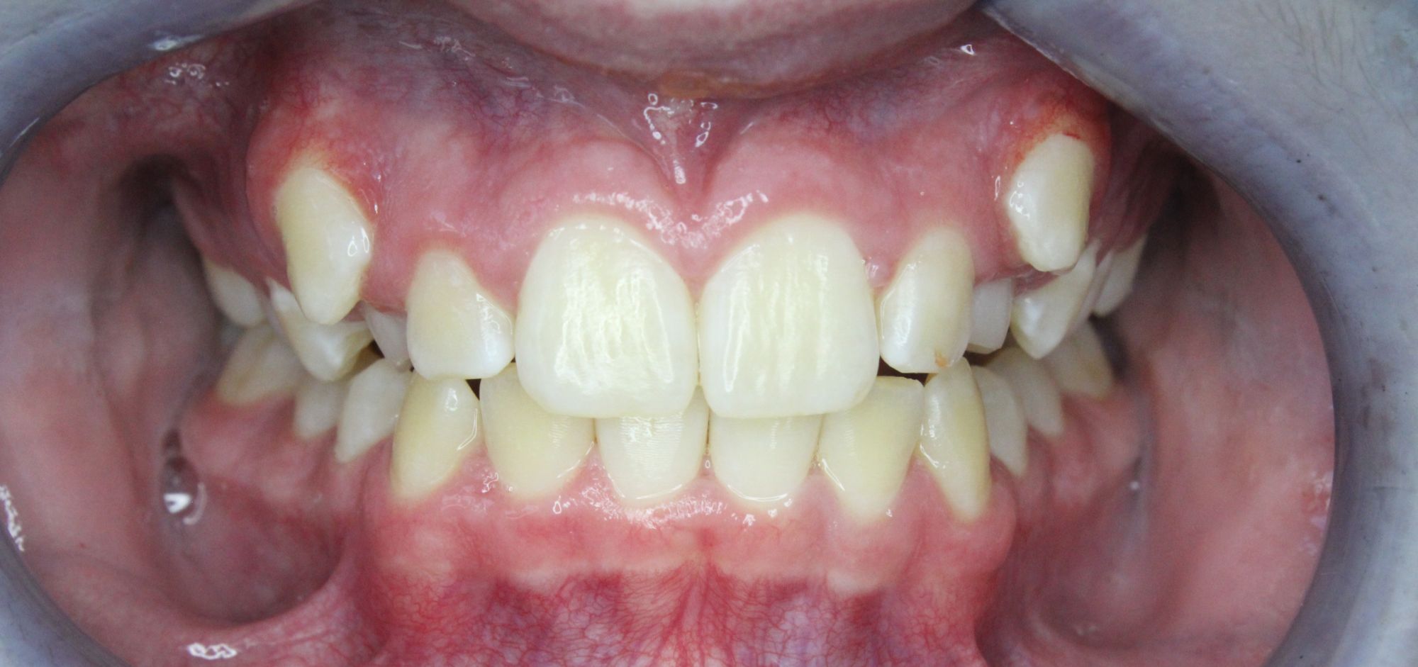
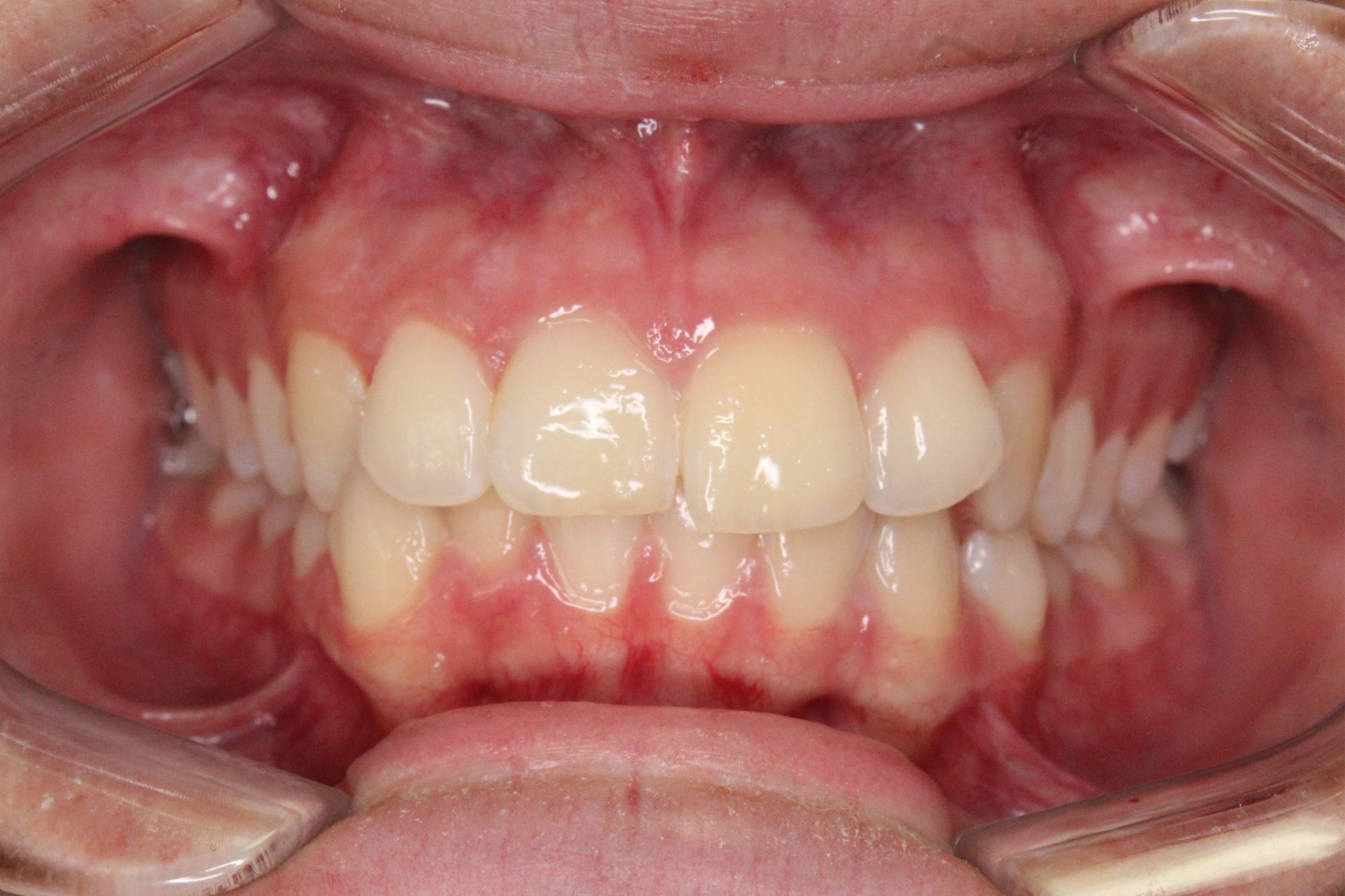
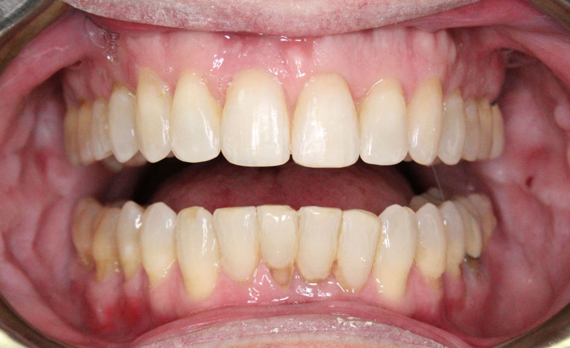
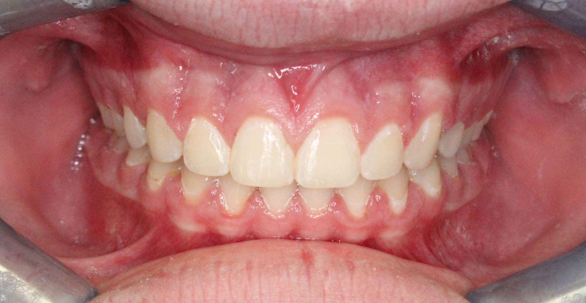
Our Smiles Speak For Themselves

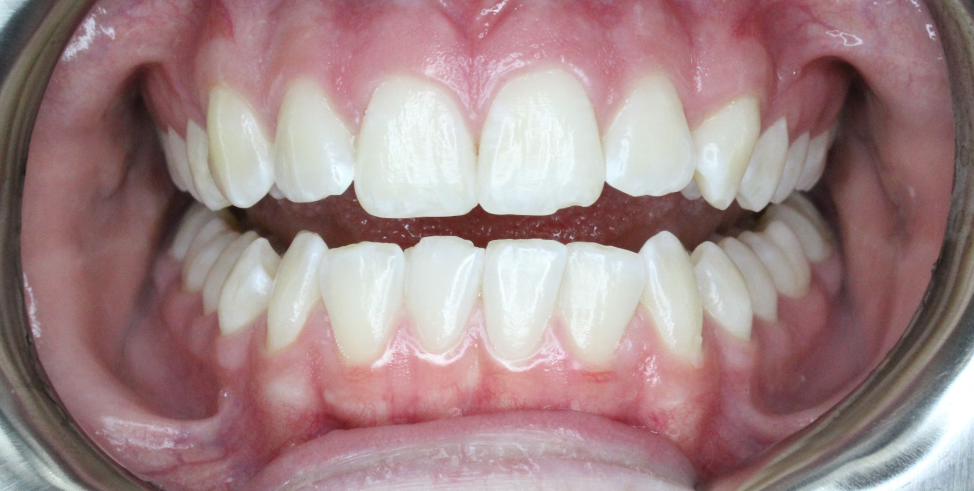
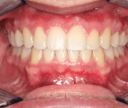
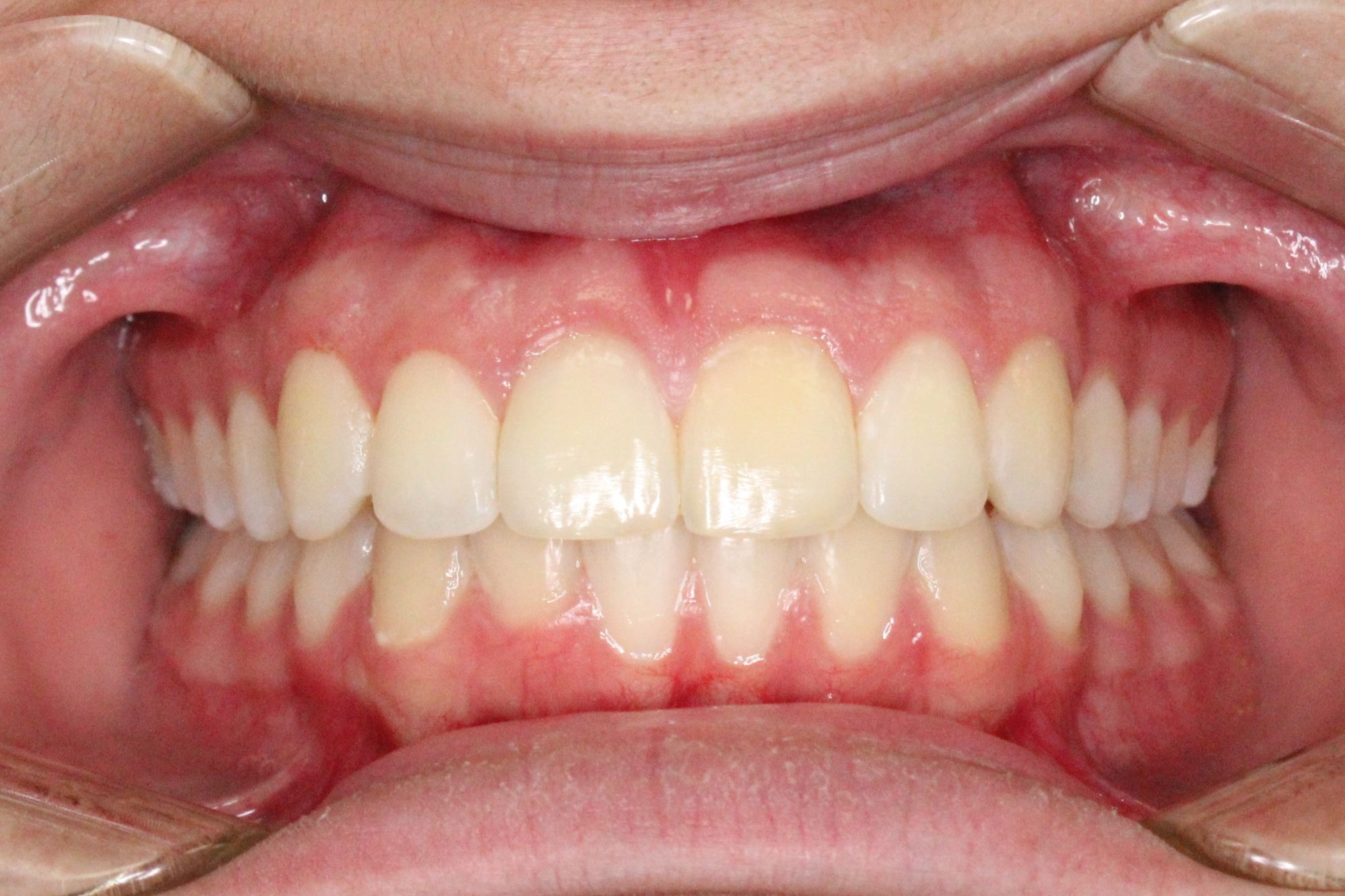
Orthodontic treatment, braces, and Invisalign can significantly improve the way your smile looks, the way your teeth function, and the way you interact with other people. At Align Orthodontics, Drs. Kunkel, Condict, and Smith treat children, teens, and adults. Every smile tells a story, and here are a few orthodontic Before & Afters treated by our doctors.

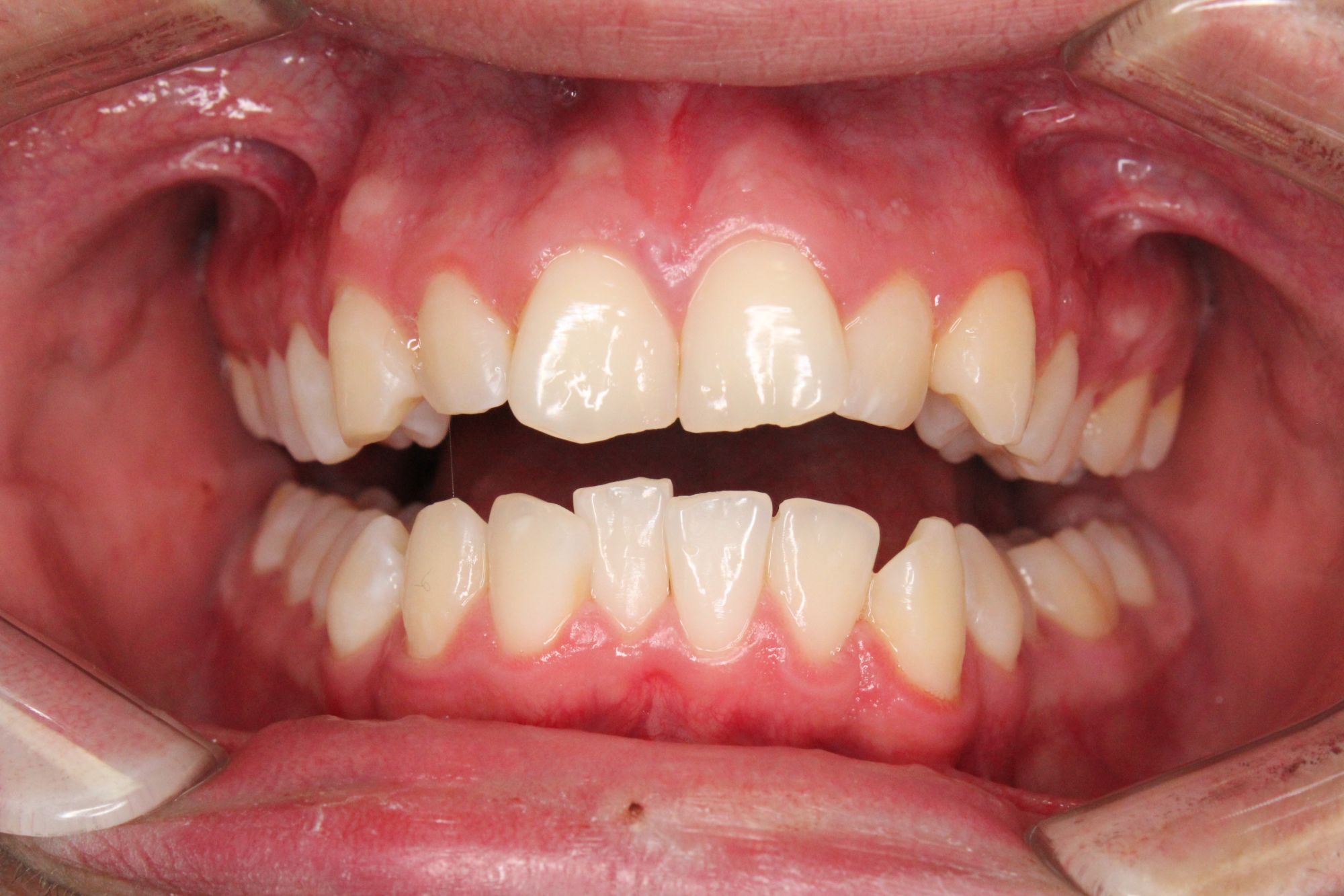
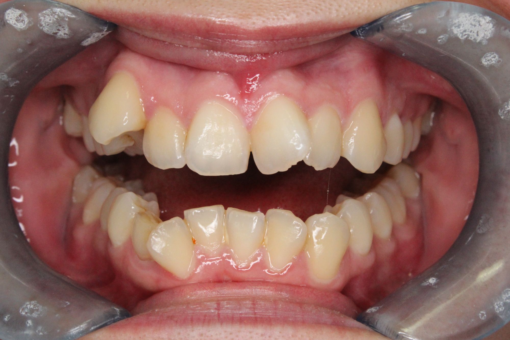
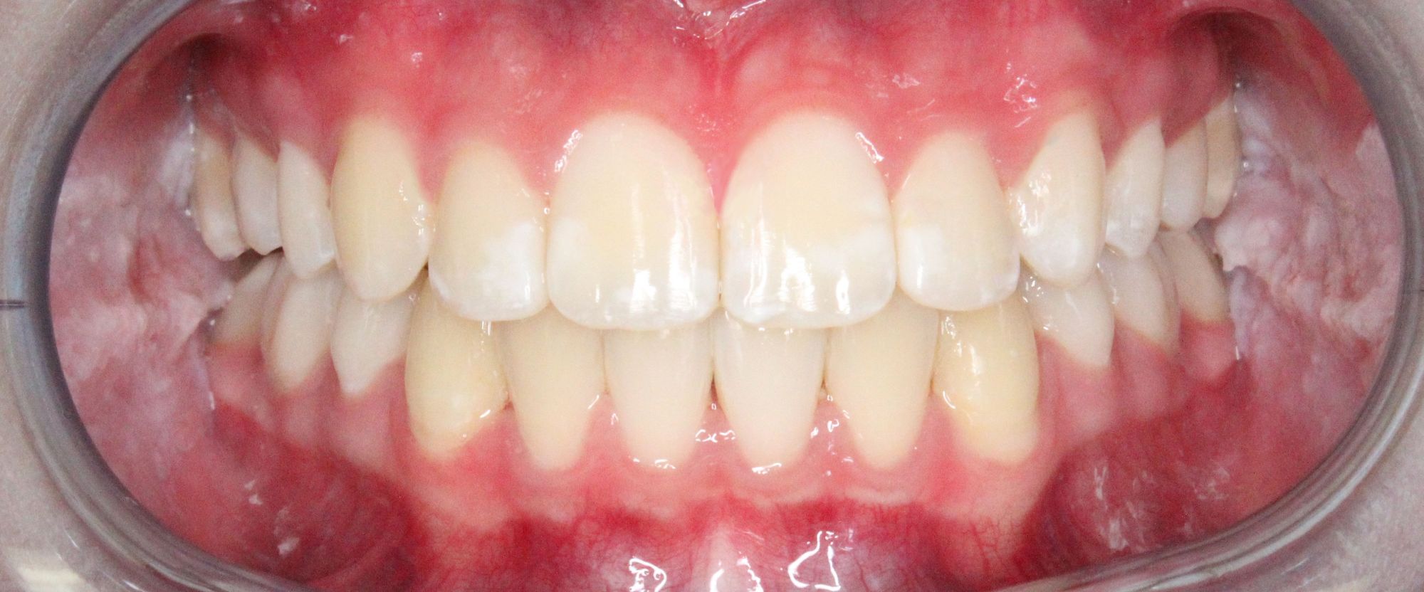
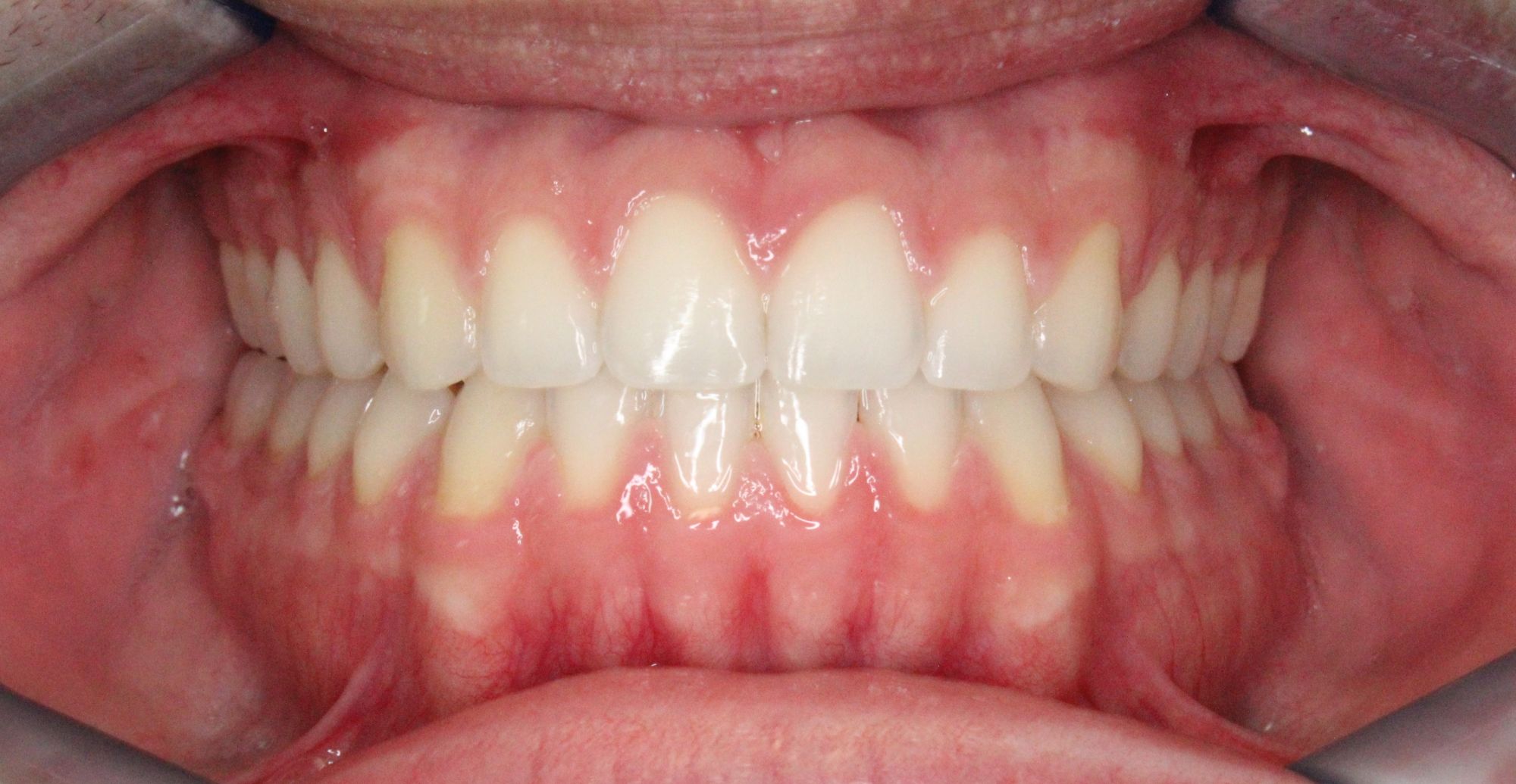
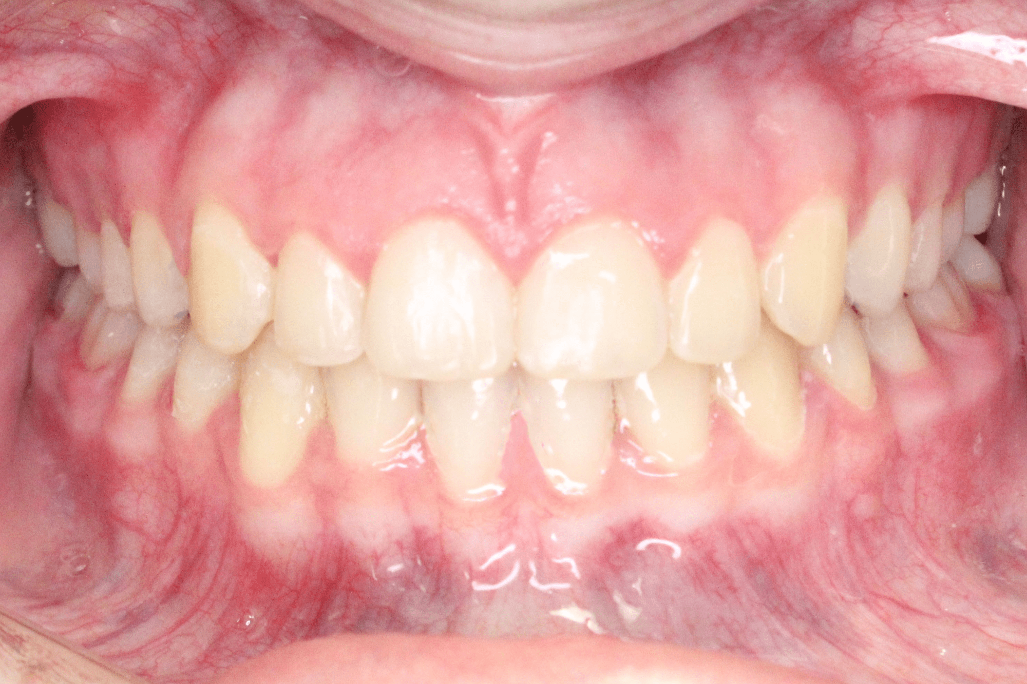
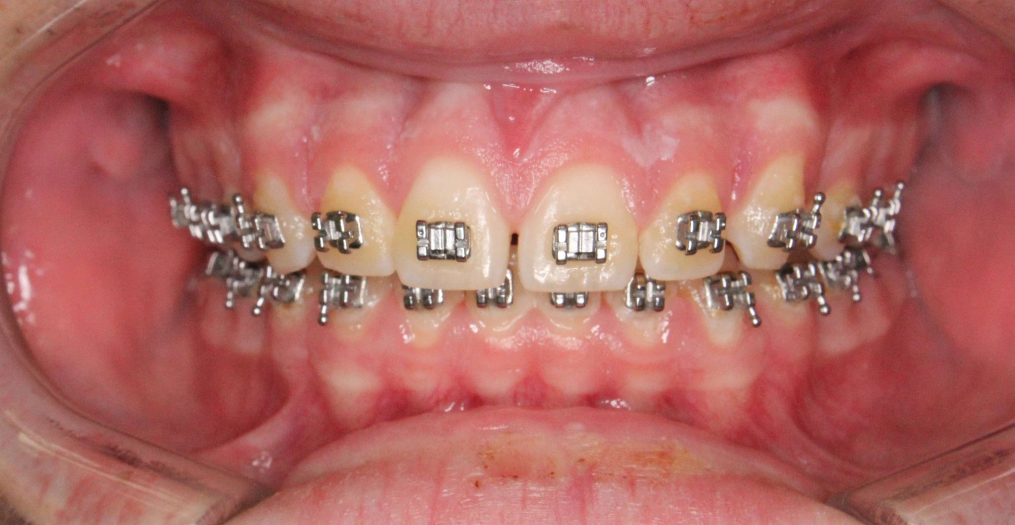
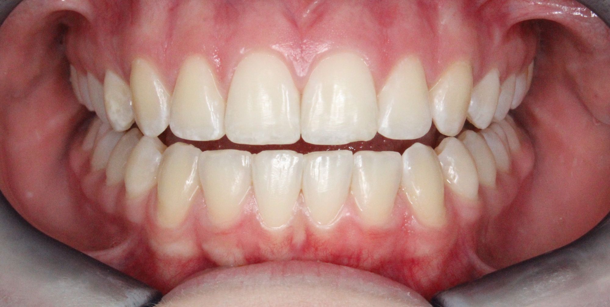
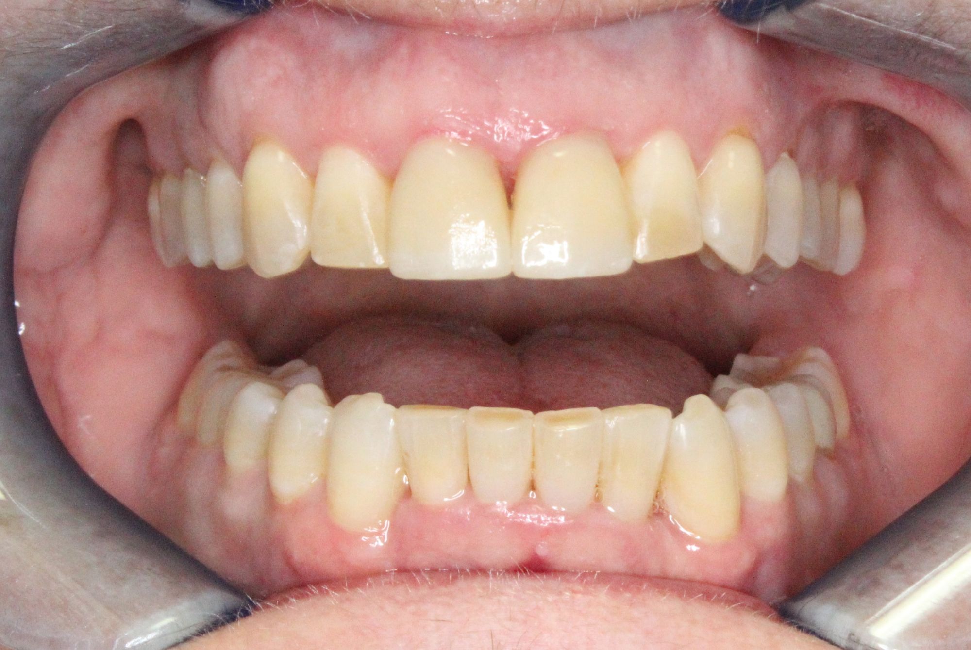
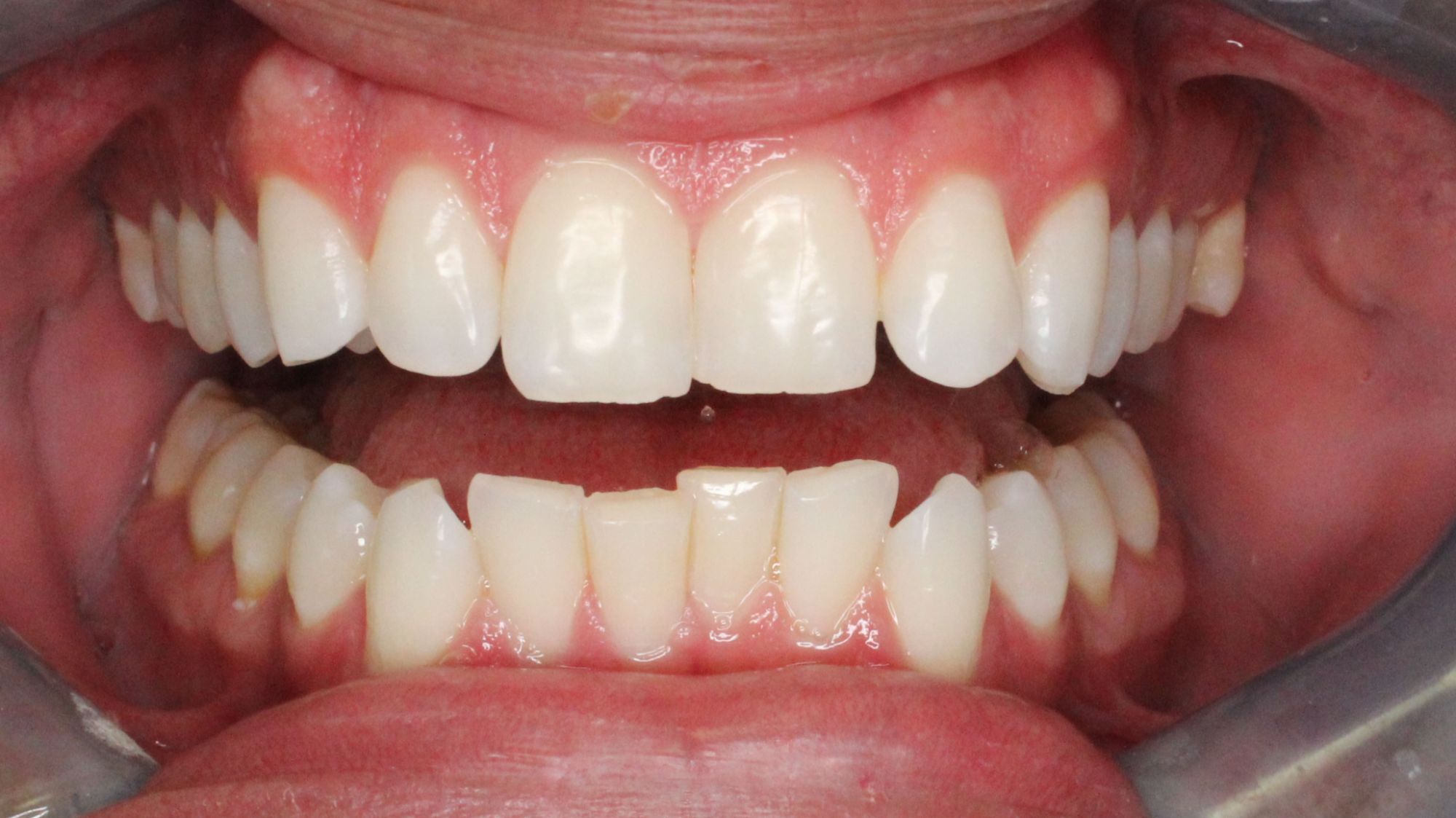
orthodontist tipton
orthodontist tipton
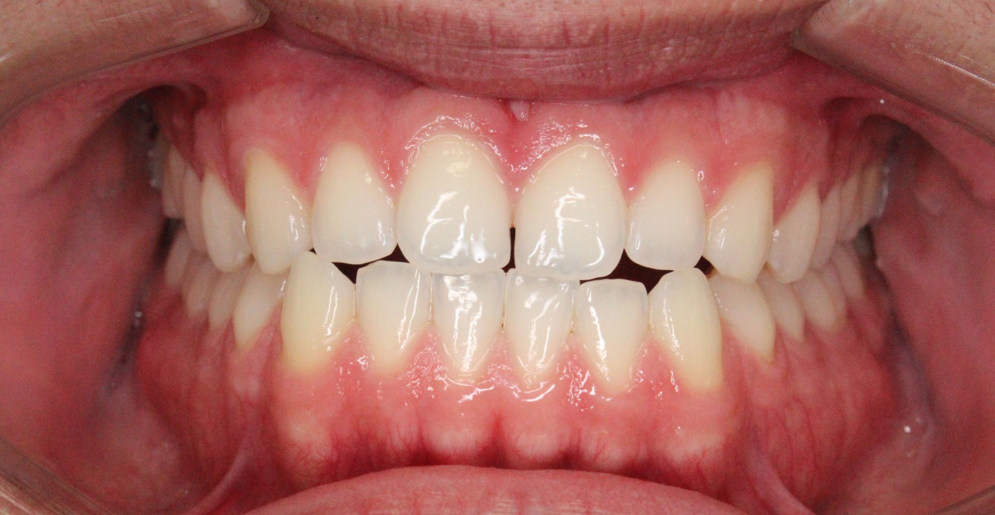
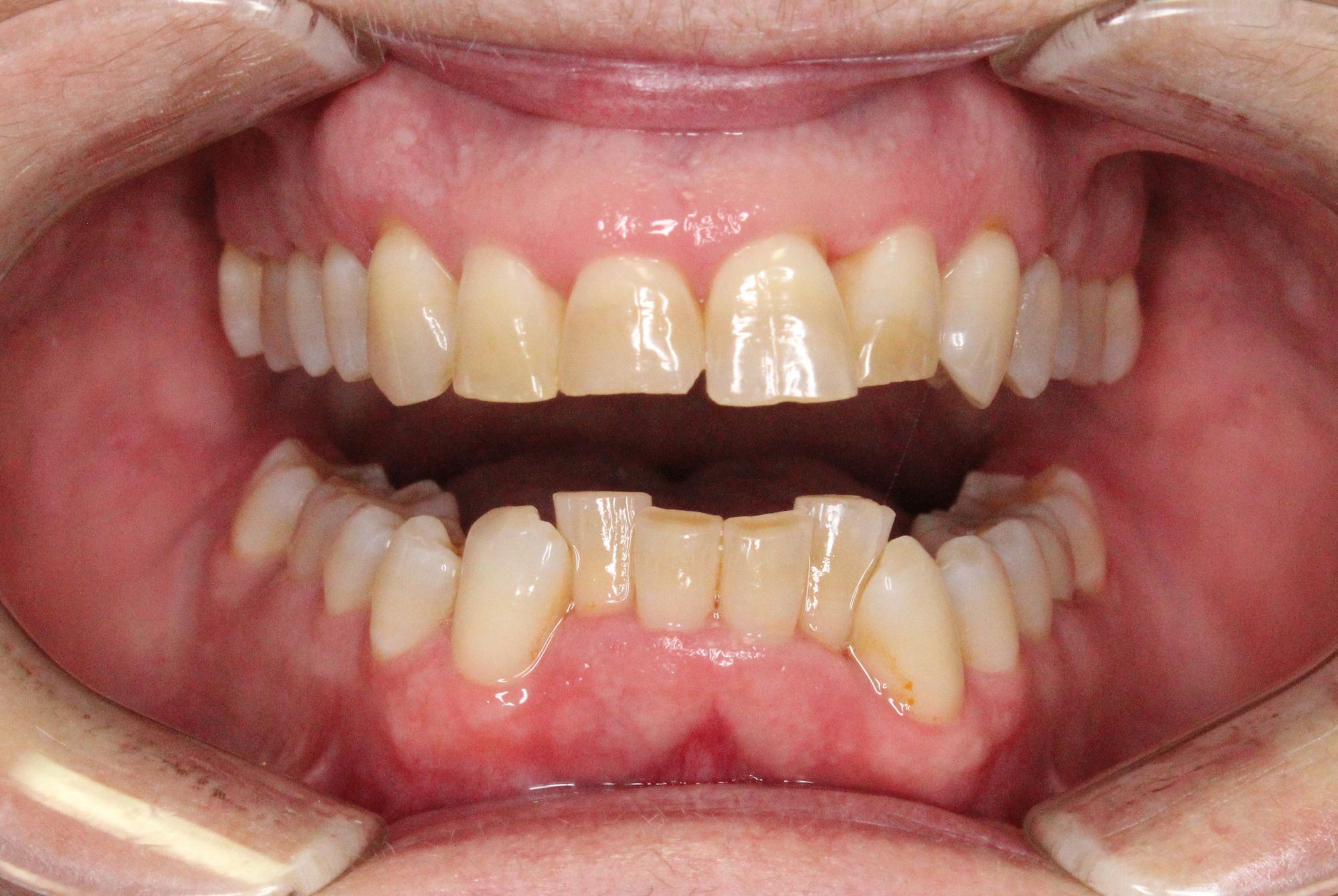
Before After
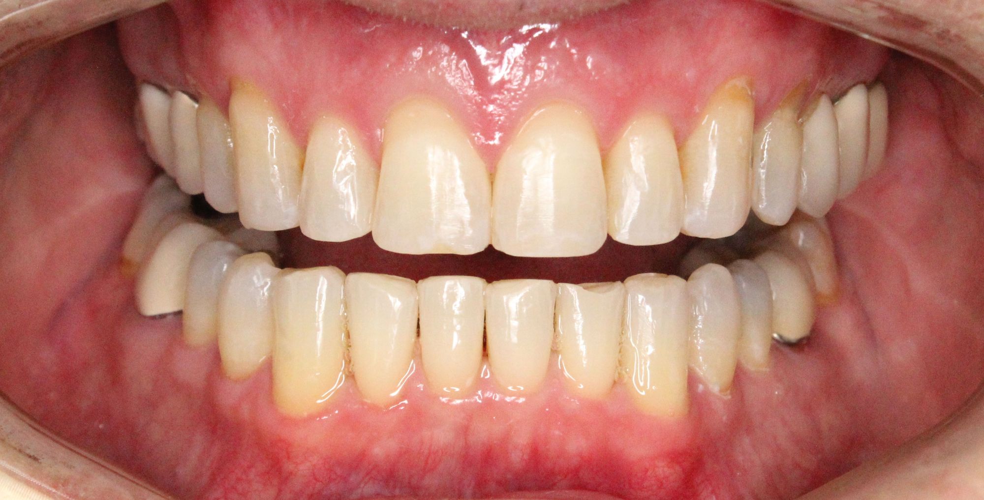
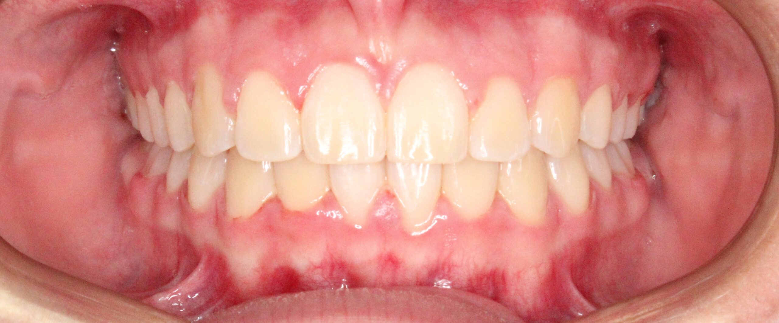
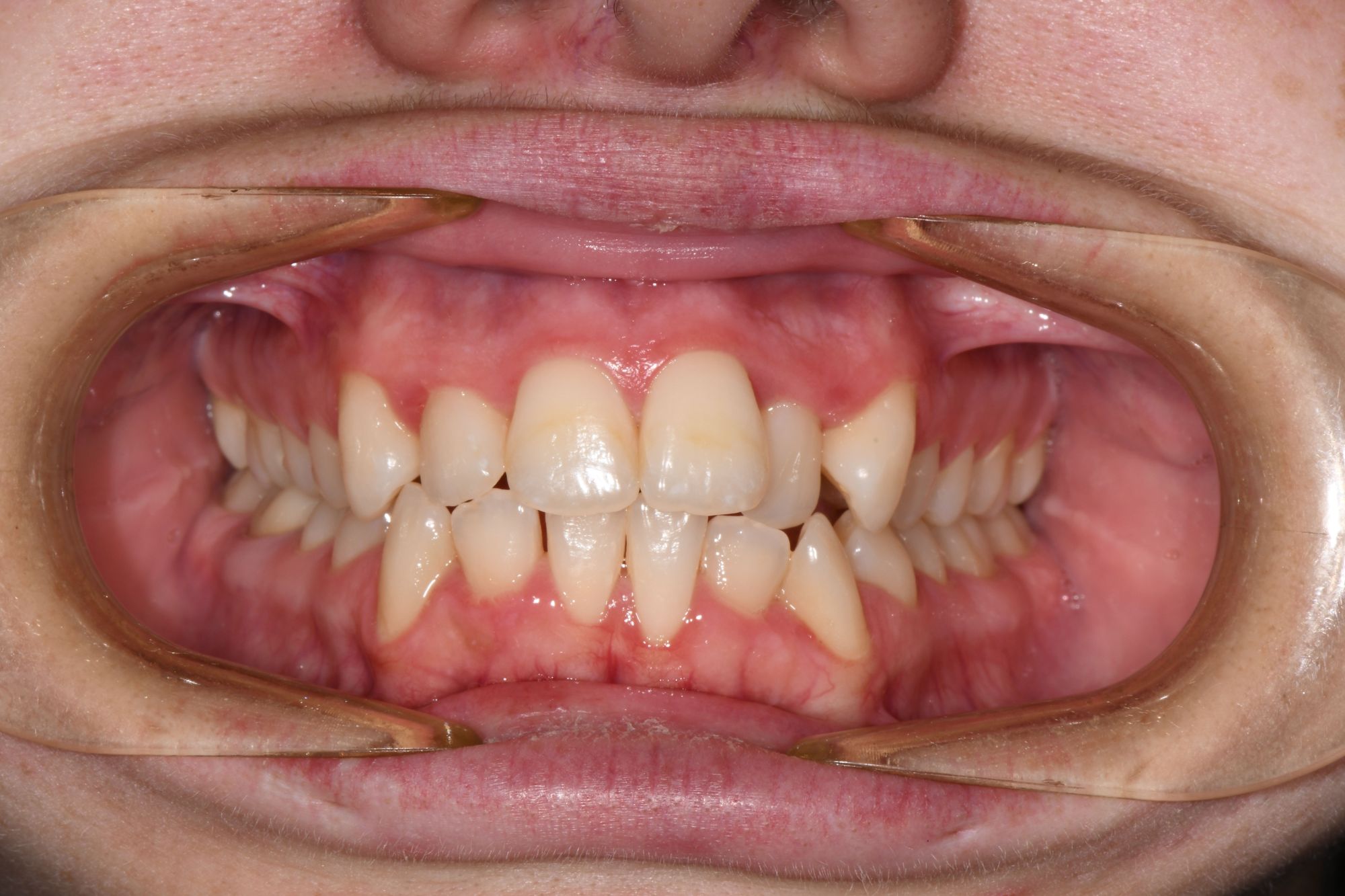
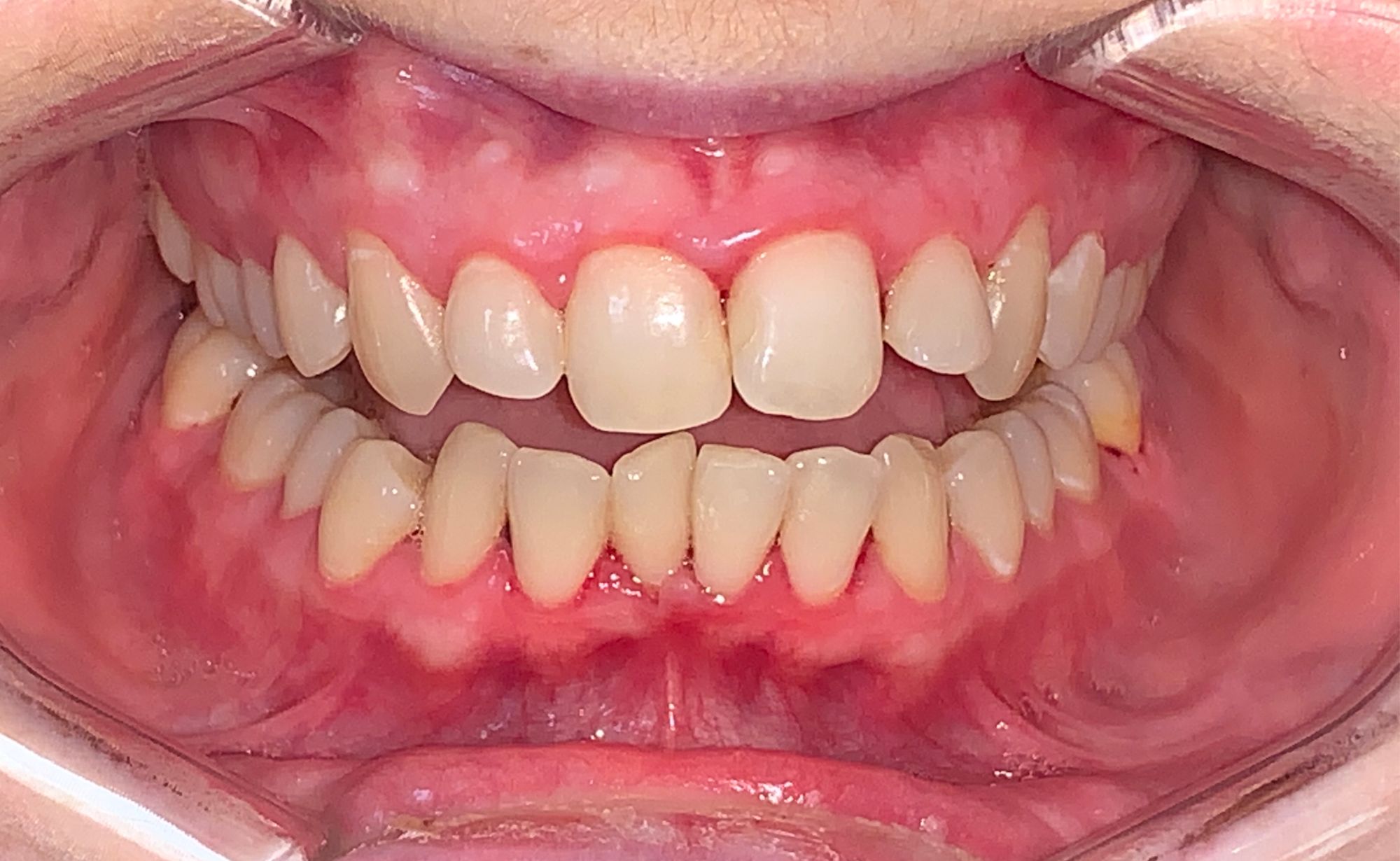
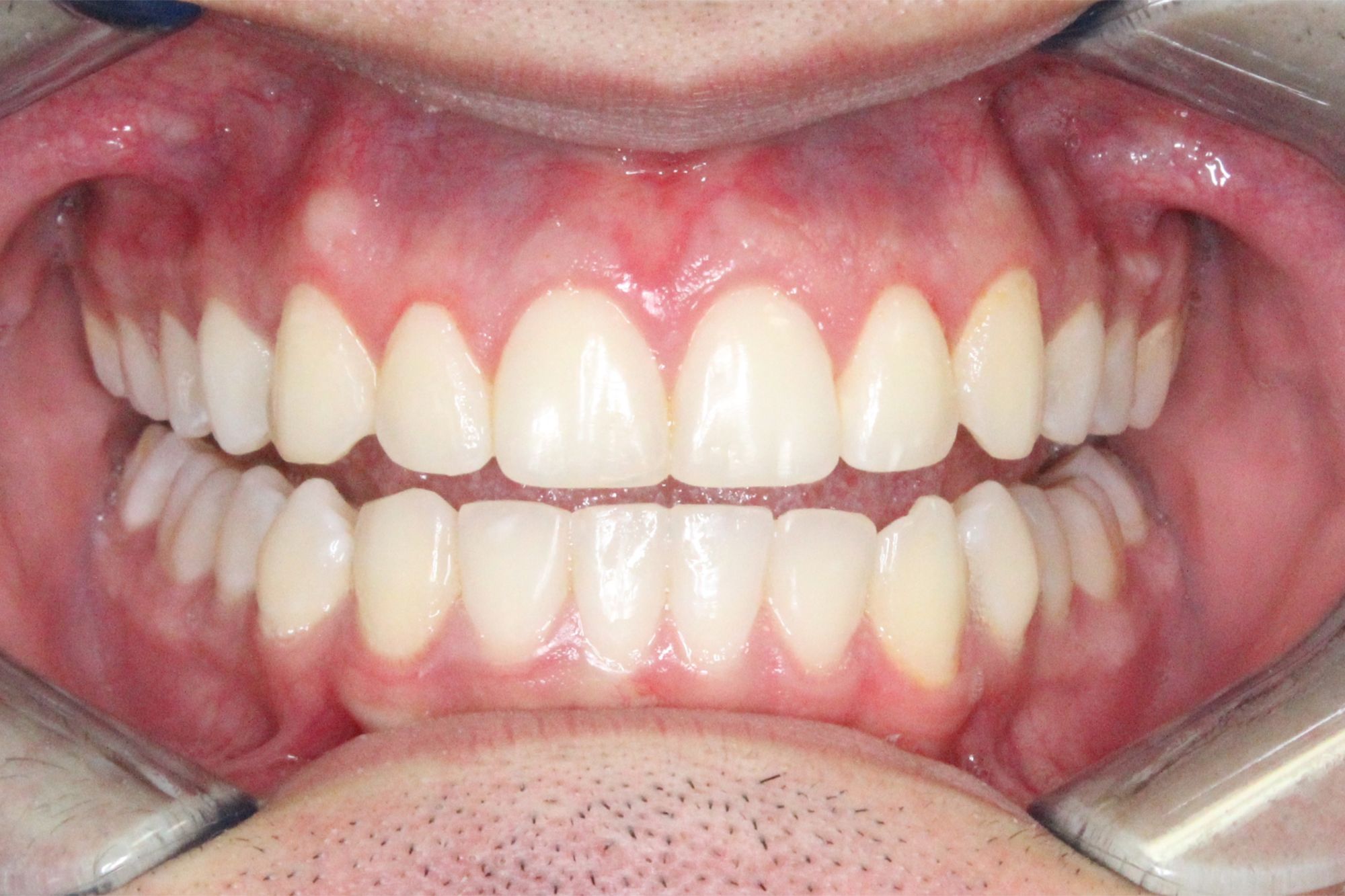
orthodontist tipton
orthodontist tipton
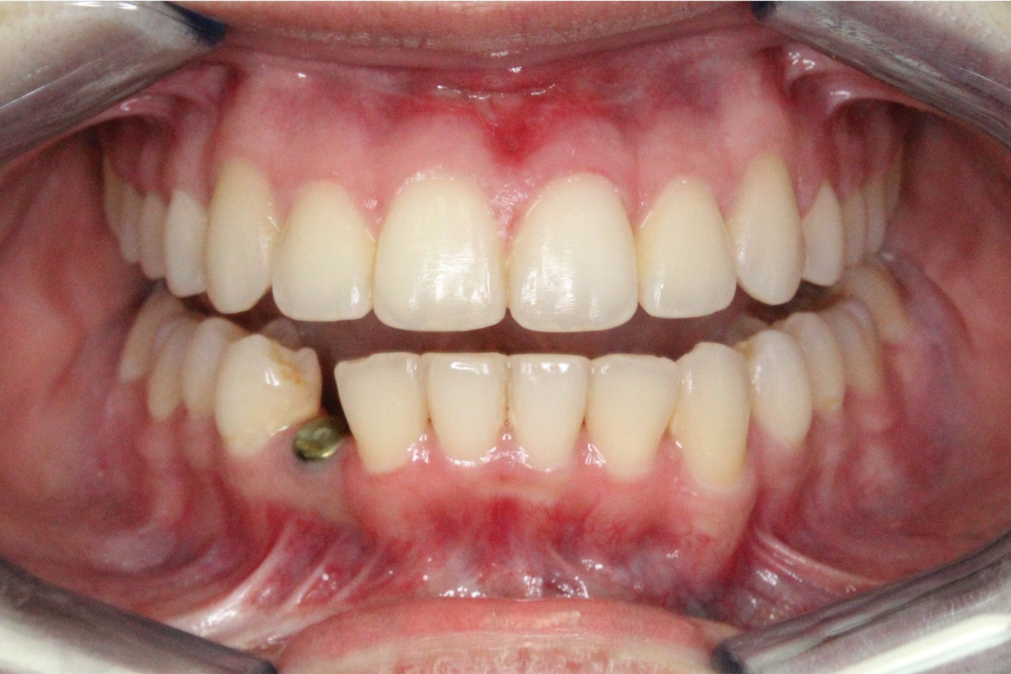
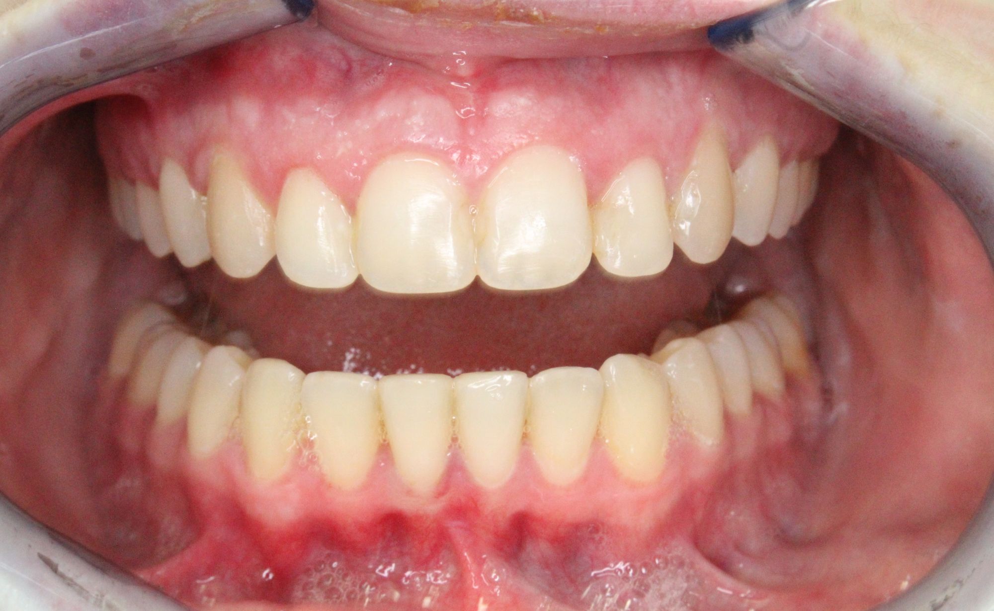
Before After
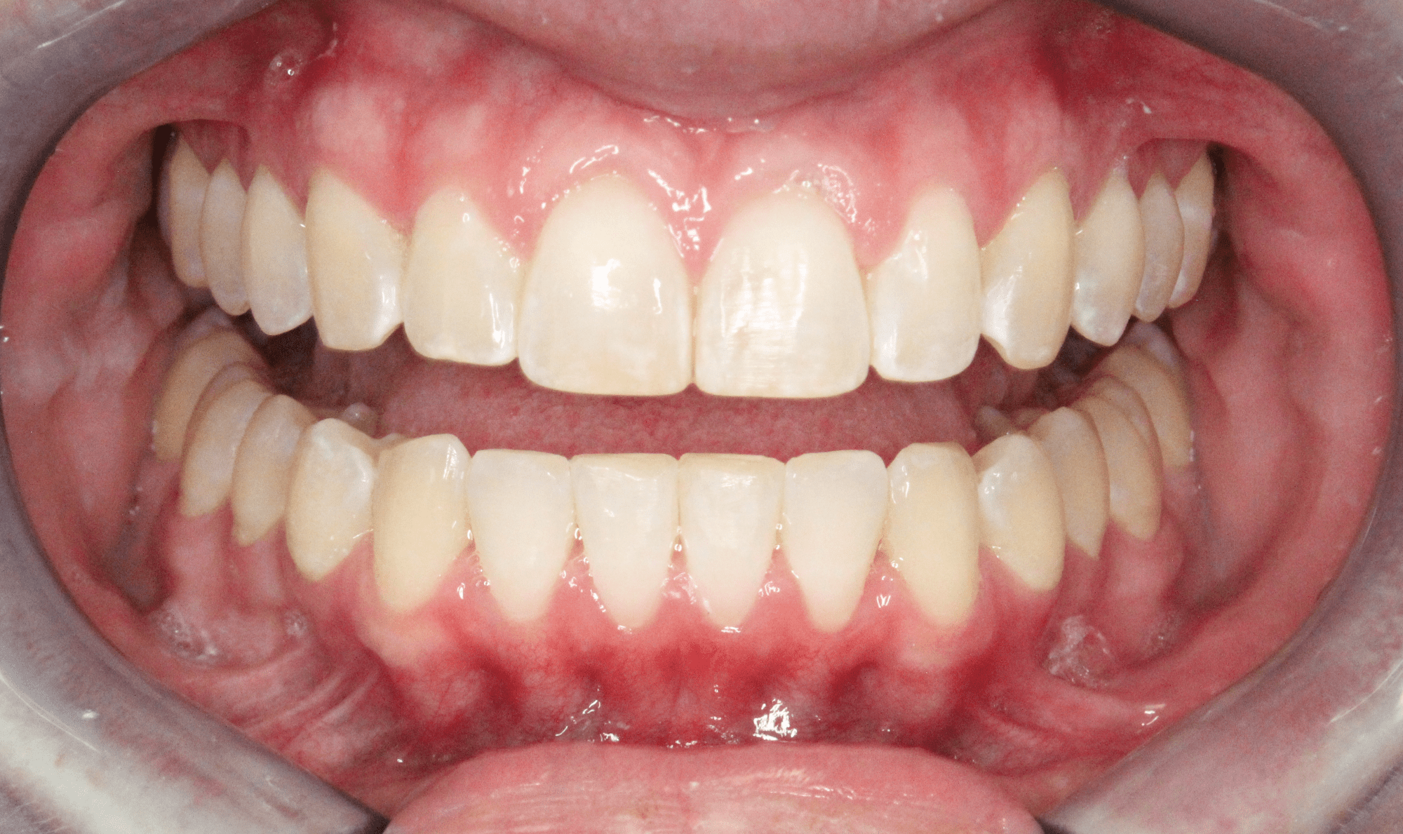
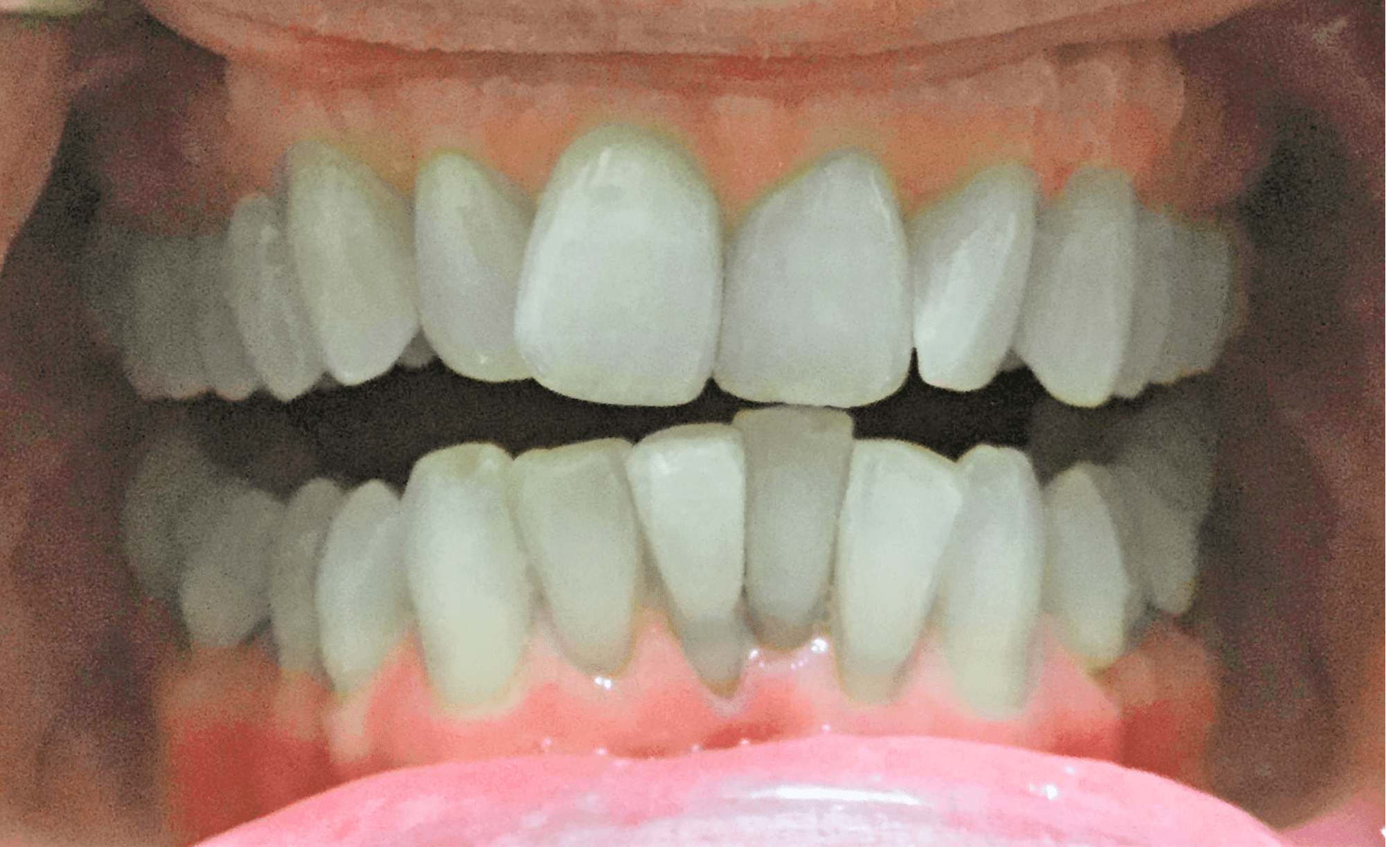
orthodontist tipton
orthodontist tipton
Before After
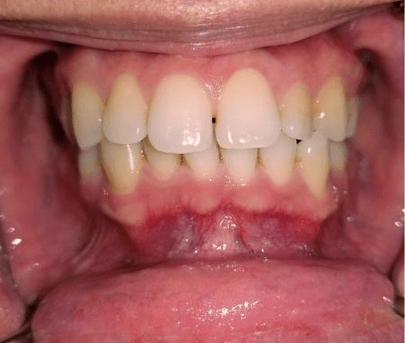
orthodontist tipton
orthodontist tipton
Before After
orthodontist tipton
orthodontist tipton
Before After
orthodontist tipton
orthodontist tipton
Before After
orthodontist tipton
orthodontist tipton
Before After
orthodontist tipton
orthodontist tipton
Before After
Smiling young girl showcasing orthodontic treatment results with braces, highlighting effective orthodontics in Noblesville.
Young woman smiling with straight teeth, showcasing successful orthodontic treatment at Align Orthodontics, representing braces and clear aligners in Noblesville.
Before After
Teen smiling with braces, showcasing orthodontic treatment results at Align Orthodontics, emphasizing effective braces and clear aligners in Noblesville and Tipton.
Smiling young woman showcasing improved teeth alignment after orthodontic treatment, emphasizing the effectiveness of braces and clear aligners at Align Orthodontics in Noblesville and Tipton.
Before After
orthodontist tipton
orthodontist tipton
Before After
orthodontist tipton
orthodontist tipton
Before After
orthodontist tipton
orthodontist tipton
Before After
orthodontist tipton
orthodontist tipton
Before After
Woman smiling with straightened teeth after orthodontic treatment at Align Orthodontics, showcasing effective results of braces or clear aligners in Noblesville.
Before and after image showcasing a patient’s smile transformation through orthodontic treatment, highlighting improved alignment from braces or clear aligners at Align Orthodontics in Noblesville.
Before After
Young man smiling with braces, showcasing an improved smile after orthodontic treatment at Align Orthodontics, emphasizing the effectiveness of braces in Noblesville.
Before and after images of orthodontic treatment showcasing improved smiles with braces and clear aligners from Align Orthodontics, serving Noblesville and Tipton.
Before After
Before and after image of a patient showcasing orthodontic treatment results, highlighting improved smile aesthetics with braces from Align Orthodontics, serving Noblesville and Tipton areas.
Smiling woman showcasing orthodontic treatment results, highlighting braces and clear aligners, representing successful orthodontics in Noblesville.
Before After
orthodontist tipton
orthodontist tipton
Before After
orthodontist tipton
orthodontist tipton
Before After
orthodontist tipton
orthodontist tipton
Before After
orthodontist tipton
orthodontist tipton
Before After
Smiling woman showcasing orthodontic braces after treatment, highlighting successful orthodontic results at Align Orthodontics in Noblesville.
Woman smiling with straight teeth after orthodontic treatment, showcasing successful results of braces or clear aligners at Align Orthodontics, emphasizing orthodontics in Noblesville and Tipton.
Before After
Before and after transformation of a patient’s smile showing improved alignment from orthodontic treatment at Align Orthodontics, highlighting braces and clear aligners in Noblesville.
Smiling young man showcasing a transformed smile after orthodontic treatment, highlighting the effectiveness of braces and clear aligners at Align Orthodontics in Noblesville.
Before After